Xử Lý Khi Bọc Răng Sứ Bị Ngứa: Nguyên Nhân Và Cách Khắc Phục
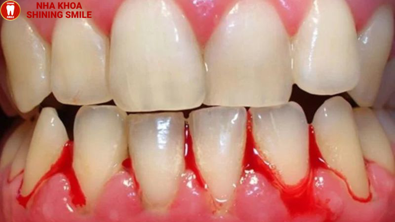
Bọc răng sứ bị ngứa lợi là tình trạng nhiều người gặp phải sau khi thực hiện thủ thuật. Vậy nguyên nhân bọc răng sứ bị ngứa lợi là gì? Có cách nào khắc phục hiệu quả không? Hãy cùng SHINING SMILE tìm hiểu chi tiết trong bài viết dưới đây nhé!

Nha khoa thẩm mỹ shining smile